※パスワードの変更もこちらから
2022年12月公開
エコーによる排尿のアセスメント
浦田克美
東葛クリニック病院 主任
皮膚・排泄ケア特定認定看護師
下部尿路機能障害には、過活動膀胱に代表される「蓄尿障害」と、前立腺肥大や神経因性膀胱などの「排尿障害」があります。症状としては、頻尿や尿失禁として顕在化することが多いです。尿失禁の有訴者率は男性11.4%、女性34.5%、男性では70歳以降、女性では40歳以降から上昇するという報告があります1。
さらに、フレイルや認知機能の問題で、排泄動作にかかわる身体機能の低下が原因の「機能性尿失禁」も超高齢社会において増加傾向です。
そのような背景もあり、診療報酬上でも2016年から「排尿自立指導料」が新設され、2020年には「排尿自立支援加算」「外来排尿自立指導料」となり、病棟だけでなく外来でも保険収載が可能となりました。詳細は他書に譲りますが、尿道カテーテル抜去後の尿失禁、尿閉などが予測される方に対して、チームで排尿自立をサポートすると1回/週200点算定できます。このときの「残尿測定」のツールとして超音波診断機器が推奨されました。ナースがエコーを使うことに対して社会的ハードルを下げたパイオニア的な施策だったと考えられます。現にナースが多く参加する関連学会の協賛にエコー機器メーカーを散見するようになりました。
残尿測定のみであれば価格帯や簡便性といった点から携帯式残尿測定専用機を選択しがちですが、汎用性の高い超音波診断装置(以下、エコー)を使用した排尿エコーが推奨されているのです。
“看護”の文脈の中で使いやすいエコー機の条件は、エコー画像がクリアに描出できる、コンパクトで軽量、長時間対応バッテリー付き、電源の立ち上がりが速く設定操作が少ない、データ管理が容易、安価なことなどが挙げられます。最近では、簡便に使用できるラップトップ型もしくは携帯型エコーが販売されています。
プローブの種類は、膀胱や腸管を描出できるコンベックス型、周波数は5MHz、Depth(深さ)15cmを初期設定とします。
プローブ走査は、恥骨上縁に短軸(横断面)でプローブを添わせ骨盤内に超音波が透過するよう傾けていきます。この際、膀胱内に尿の貯留があると説得力のある画像が描出できます。
診療報酬は、残尿測定としてエコーを使用した場合、前立腺肥大症、神経因性膀胱または過活動膀胱の患者に対し2回/月まで55点算定可能です。
排尿エコーの役割は、(1)膀胱内尿量の評価、(2)残尿測定です。
(1)膀胱内尿量の評価
臨床の場面で、頻尿を訴えてナースコールを頻回に押す患者、焦ってトイレへ向かう途中に転倒を繰り返す患者、最終排尿から長時間経過しているのに排尿がないからカテーテルで導尿する患者、などの経験はありませんか?
このような患者に対して、 介護者が2~3時間ごとに尿意を確認してトイレ誘導するよりも、エコーで膀胱内尿量を評価し適切なタイミングで誘導することで尿失禁の割合が51%減少した、という報告があります2。
このように、エコーで膀胱内の尿量を評価することで、適切な排尿誘導や治療を行うための根拠となります。
尿失禁には、咳やくしゃみなど腹圧をかける動作のタイミングで失禁する「腹圧性尿失禁」、流水音やトイレを見ただけで急激な尿意を感じて失禁する「切迫性尿失禁」、膀胱内の尿が溢れて漏れる「溢流性尿失禁」などがあります。「腹圧性尿失禁」と「切迫性尿失禁」は蓄尿機能の低下のため、頻回な尿意と切迫感を伴う失禁、「溢流性尿失禁」は、排尿機能の低下のため排尿困難や排尿後の失禁です。
膀胱内に貯留している尿量をエコーで評価すれば、尿失禁の原因が蓄尿障害なのか排尿障害なのか判断できます。
その他、訪問看護の場面で、膀胱留置カテーテル交換後に尿の流出確認ができないまま次の訪問先へ移動した経験はありませんか?
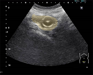
カテーテル交換後にエコーで膀胱内の固定バルーン(写真1)を確認できれば、尿の流出がなくても一安心です。また、膀胱留置カテーテル管理中に尿量が激減した際、原因が無尿なのかカテーテルの屈曲や閉塞なのかについて迷うことがあります。そのようなときは、エコーで膀胱内を観察すれば、緊急受診の必要性を判断できます。
写真1 膀胱留置カテーテル固定バルーンの確認
膀胱(オレンジの範囲)内に固定バルーンがある状態
(2)残尿測定
尿失禁の中でも、特に「溢流性尿失禁」は要注意です。常に膀胱内が尿で充満しているため、放置すると尿路感染症や腎不全を引き起こし生命の危機を引き起こします。代表的な原因は、糖尿病や脳血管疾患による「神経因性膀胱」、抗コリン薬やβ遮断薬の服用、前立腺肥大や腫瘍などによる膀胱出口部の狭窄や閉塞、フレイル高齢者、認知症などです。尿失禁がある場合は、軽視せずに溢流性尿失禁を除外するためにも、排尿後に残尿測定を行い、医師と情報共有しましょう。
残尿測定には、2つの方法があります。
ご登録された会員メールアドレスとパスワードを入力して、「ログイン」を押してください。
ログイン
©DEARCARE Co., Ltd.





